Chirurgia del piede
Chirurgia del piede: con più di 2.500 interventi eseguiti e con alle spalle l’esperienza maturata con il prof. G. Pisani, vengono affrontate tutte le patologie del piede dall’alluce valgo, alle tendinopatie dell’Achille, alle deformità complesse del retro e mesopiede, alla patologia sportiva della caviglia (artroscopia e ricostruzione legamentosa).
esempi di casi clinici
Alluce valgo
Guarda il casoPiede piatto bambino
Guarda il casoalluce valgo
L’intervento consiste nell’eseguire delle osteotomia correttive (sia con tecnica tradizionale che mini invasiva) che permettono la correzione meccanica del primo raggio ripristinando un corretto allineamento.
Fig. 1 Grave valgismo con sovradduzione e varismo del II e III dito
Fig. 2 Correzione ottenuta alla rimozione dei punti
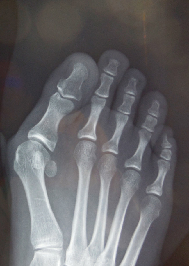
Fig. 3 esempio radiografico di alluce valgo prima dell’intervento
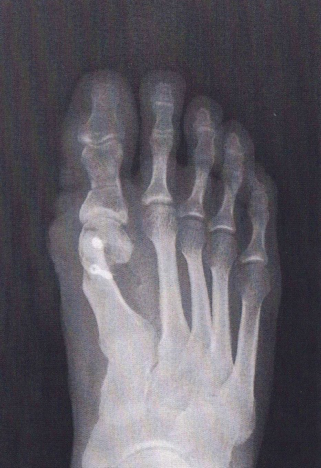
Fig. 4 radiografia dopo correzione ottenuta con le osteotomie e la fissazione con 2 viti in titanio
piede piatto di bambino
Con un intervento mini invasivo si può oggi correggere anche un piede gravemente piatto: è consigliabile intervenire ad accrescimento non ultimato (l’ideale è intorno ai 9-10 anni), anche se nel caso presentato il paziente, pur avendo eseguito la prima radiografia a 12 anni, ha ritardato l’intervento di 2 anni.
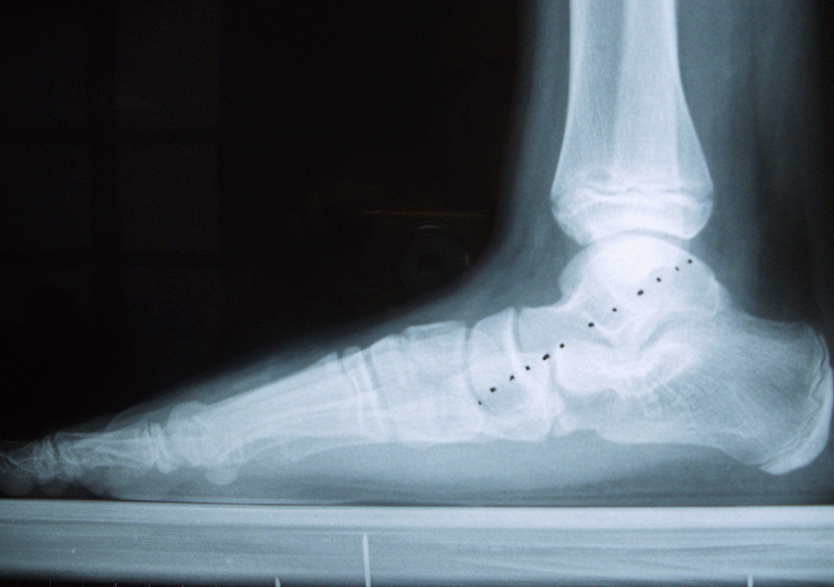
Fig. 1 Radiografia preoperatoria del piede destro che evidenzia come l’astragalo sia “disallineato” (linea tratteggiata) rispetto al resto del piede. Questo accade perchè l’astragalo tende a verticalizzarsi e a protrudere all’interno del piede, facendo cadere la volta plantare e dando l’immagine tipica del “piattismo”.
Fig. 2 Radiografia postoperatoria: è stata inserita una vite troncoconica all’interno del seno del tarso che ha “alzato” l’astragalo e ha ripristinato un corretto allineamento delle ossa tarsali (linea rossa). L’intervento ha una durata di 10 min circa con una cicatrice di 1,5 cm che con gli anni diventerà pressoché invisibile.
Fig. 3-4-5 Foto cliniche del piede destro operato (a sinistra intervento ancora da eseguire). Notare la correzione del piattismo e dell’asse del calcagno a destra rispetto a sinistra.








