Chirurgia dell' anca
CHIRURGIA PROTESICA: il dr. Gazzarrini ha al suo attivo più di mille interventi di questo tipo. Come per il ginocchio, la tecnica mini invasiva, l’utilizzo di terapia antalgica locale e antiemorragica sistemica ermette di ridurre sensibilmente la perdita ematica e di evitare pressoché in tutti i casi le trasfusioni postoperatorie.
Di fatto oggi il primo impianto di una protesi d’anca è, nella maggior parte dei casi, un intervento di assoluta routine. Il reintervento invece di una protesi già impiantata può essere estremamente complesso: vengono qui presentati 2 casi che dimostrano quanto gravi possano essere i problemi in pazienti già portatori di protesi d'anca che solo chirurghi esperti sono in grado di affrontare.
Nei primi 2 casi vengono risolti i problemi del cotile, cioè la componente del bacino, mentre nel 3° caso è presentato un reimpianto completo.
esempi di casi clinici
Scollamento cotile 1
Guarda il casoScollamento cotile 2
Guarda il casoReimpianto totale
Guarda il casoScollamento cotile 1
Caso clinico di paziente improvvisamente impossibilitato a deambulare per grave sintomatologia dolorosa e accorciamento dell’arto sinistro. Portatore di protesi d’anca sinistra impiantata 20 anni prima e mai controllata.
Fig. 1 Radiografia: dislocazione superiore della testa protesica femorale
Fig. 2 Fotografia delle componenti protesiche rimosse. L’inserto di polietilene si è completamente usurato (parte bianca delle componenti), la testa femorale in acciaio è entrata in contatto con il cotile in titanio ed ha, con il tempo, molato il cotile stesso fino a che la testa femorale ha oltrepassato il cotile ed è entrata nel bacino
Fig. 3 Radiografia postoperatoria: risultato dell’impianto del nuovo cotile con agganci sul bacino
Fig. 4 Filmato del risultato clinico a 6 anni dal reimpianto.
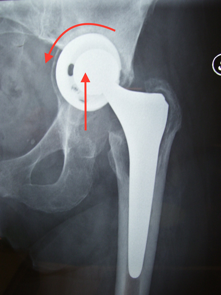
Scollamento cotile 2
Viene qui presentato un caso di progressiva mobilizzazione del cotile dell’anca sinistra.
Fig. 1 Iniziale mobilizzazione a 2 anni dal primo impianto
Fig. 2 Completa mobilizzazione con rotazione in senso antiorario e migrazione verso l’alto del cotile (frecce) con ampia usura dell’osso del bacino
Fig. 3 Risultato a 2 anni dell’intervento utilizzando un nuovo cotile con agganci sulla parte di bacino sana. Riempimento del grave difetto osseo del bacino con osso di banca (frecce)
Fig. 4 Filmato clinico a 2 anni dal reintervento. La paziente ha 85 anni.
Reimpianto totale
Fig. 1 Paziente con protesi di anca destra operata già 3 volte ( a causa di un’infezione) 10 anni prima. A sinistra protesi di primo impianto operata 3 anni prima.Il cotile è mobilizzato.L’inserto in polietilene (plastica) è usurato e la testa femorale è risalita: la polvere di polietilene dovuta all’usura, entra nell’interfaccia tra protesi e osso ed è causa della cosddetta “malattia da polietilene” che è responsabile dell’ usura dell’osso e dello scollamento della protesi.Nel caso in questione l’usura del femore ha causato un assottigliamento delle corticali così grave che esse presentano un aspetto a guscio d’uovo. La parte terminale della protesi invece è incarcerata e necessiterà, nel corso del reintervento, dell’ apertura (“a panino”) del femore per poter posizionare la protesi definitiva.Si vedono ancora i mezzi metallici utilizzati nel primo intervento, probabilmente per una frattura del gran trocantere.In sovrapposizione si vede il disegno della nuova protesi che verrà impiantata.
Fig.2 Radiografia postoperatoria. I cerchiaggi e la placca sono stati utilizzati per richiudere il femore dopo che esso è stato “aperto” per rimuovere la protesi. Una volta chiuso il femore, si procede al posizionamento dello stelo protesico lungo che deve far presa sulla porzione di femore sano. E’ stato ovviamente cambiato anche il cotile. Trattasi di intervento assai impegnativo.







